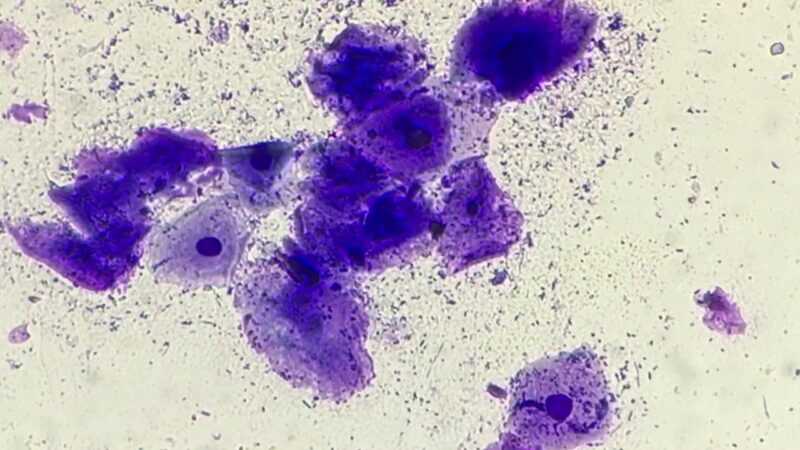
Description

Vaginal cytology is the microscopic examination of cells collected from the vaginal epithelium. This procedure involves taking a sample of cells from the vaginal wall, usually using a swab or brush, and then preparing them on a slide for analysis under a microscope.