Description

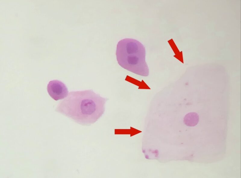
A urine smear for malignant cell study involves examining cells present in a urine sample under a microscope to detect and identify cancerous cells. This test is particularly useful for diagnosing cancers of the urinary tract, including the bladder, ureters, and kidneys.