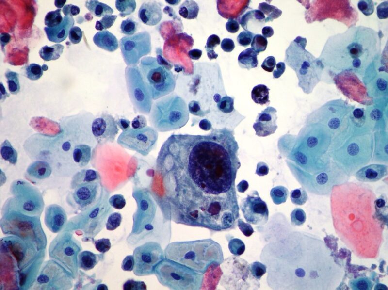
Description

Urine cytology is a diagnostic test used to examine cells shed from the lining of the urinary tract, including the bladder, ureters, and renal pelvis. This test helps in detecting abnormal or malignant cells, primarily for the diagnosis of urinary tract cancers, such as bladder cancer.