Description

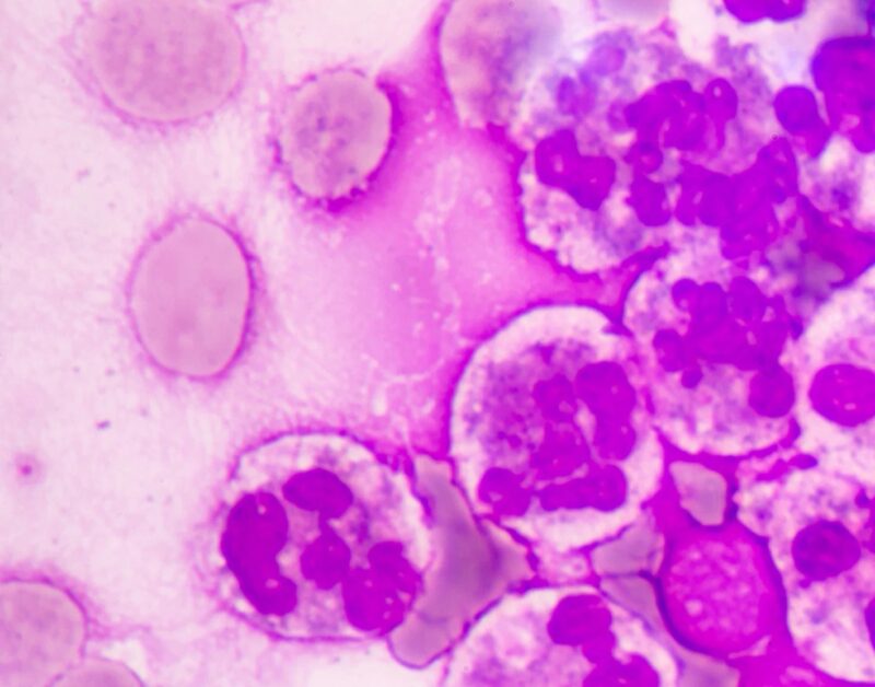
Pleural fluid analysis involves examining the fluid collected from the pleural space, the area between the lungs and the chest wall. This procedure is typically performed through thoracentesis, where a needle is inserted into the pleural space to obtain the fluid sample.