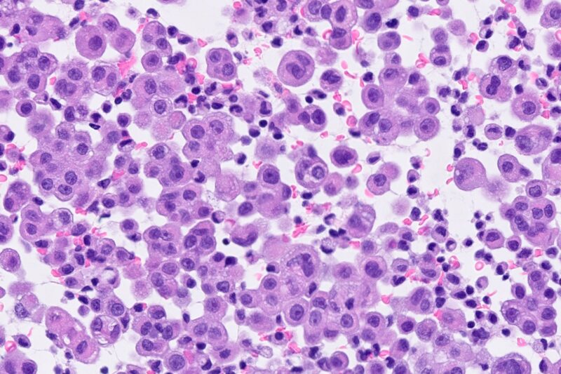
Description

A malignant cell study involves the microscopic examination and analysis of cells to determine whether they are cancerous (malignant). This study is conducted on samples obtained from various sources, such as body fluids, tissue biopsies, or fine needle aspirations (FNAC).