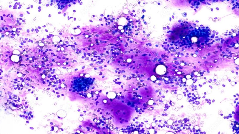
Description

Fine Needle Aspiration Cytology (FNAC) is a minimally invasive diagnostic procedure used to assess lumps or masses in various parts of the body. It involves using a thin, hollow needle to extract cells from the suspicious area, which are then examined under a microscope.