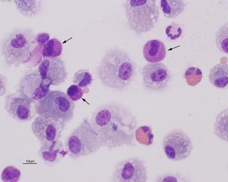
Description

Bronchoalveolar lavage (BAL) cytology involves the collection and examination of cells from the lower respiratory tract. This procedure helps in diagnosing various lung diseases, including infections, interstitial lung diseases, and malignancies. The procedure is typically performed during a bronchoscopy.